Information about PennHip
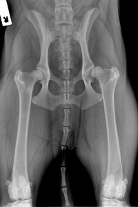
Hip dysplasia – PennHIP
Hip Dysplasia – Juvenile Pubic Symphysiodesis
Need some help? We come to you.
Wanna know more? Read on!
Then click HERE
Your pet might need cruciate ligament surgery